Accueil
Orthodontie - Chirurgie orthognatique
- Introduction
- Guide de l'opéré
- Mon histoire
- 20 OCTOBRE 2006 - La pose de mes premières broches
- 8 DÉCEMBRE 2006 - La pose de mes broches inférieures
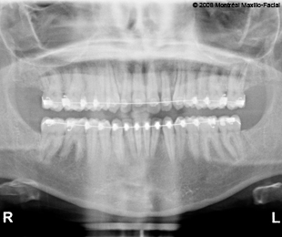
- 13 DÉCEMBRE 2007 - L'extraction de mes dents de sagesse
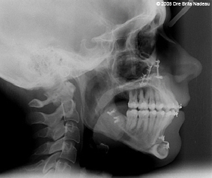
- 15 MARS 2008 - Ma chirurgie (2 jours avant ma première chirurgie)
- 17 MARS 2008 - Nouvelles de Marie-Hélène (courriel envoyé par mon conjoint)
- 19 MARS 2008 - Mise à jour (courriel envoyé par mon conjoint)
- 19 MARS 2008 - Mise à jour (Prise 2) (courriel envoyé par mon conjoint)
- 21 MARS 2008 - Des nouvelles de l'opérée!
- 25 MARS 2008 - D'autres nouvelles et premières photos
- 1er AVRIL 2008 - Que de bonnes nouvelles
- 8 AVRIL 2008 - Dernières nouvelles
- 14 AVRIL 2008 - De moins bonnes nouvelles
- 15 AVRIL 2008 - RE: ** UPDATE ** De moins bonnes nouvelles
- 15 AVRIL 2008 - Nouvelle de la deuxième chirurgie (courriel envoyé par mon conjoint)
- 18 AVRIL 2008 - Nouvelles de celle qui se remet tranquillement de sa deuxième chirurgie
- 22 AVRIL 2008 - Encore des nouvelles
- 1er MAI 2008 - Après 6 semaines de rendez-vous...
- 6 JUIN 2008 - Sur la bonne voie
- 27 AOÛT 2008 - Des nouvelles!
- 17 NOVEMBRE 2008 - Une autre épreuve
- 17 DÉCEMBRE 2008 - De bonnes nouvelles avant Noël
- 10 FÉVRIER 2009 - Le vilain petit canard est devenu un cygne
- 9 FÉVRIER 2012 - Mes dents font encore des siennes!
- 13 FÉVRIER 2012 - Rendez-vous avec mon chirurgien pour mes mâchoires
- 20 MARS 2012 - Je vais probablement m'en sortir sans broches!
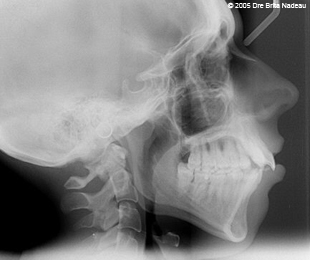
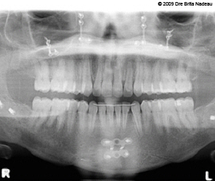
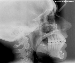
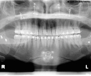
- Photos & radiographies
Bon Jovi
- Introduction
- Mes revues de spectacle
- 10 DÉCEMBRE 1993 - Montréal, Québec, Canada
- 3 AOÛT 1995 - Montréal, Québec, Canada
- 28 NOVEMBRE 2000 - Montréal, Québec, Canada
- 19 MAI 2001 - Ville de Québec, Québec, Canada
- 19 JUILLET 2001 - Montréal, Québec, Canada
- 21 FÉVRIER 2003 - Montréal, Québec, Canada
- 14 & 15 DÉCEMBRE 2005 - Montréal, Québec, Canada
- 13 JUILLET 2006 - Montréal, Québec, Canada
- 14 & 15 NOVEMBRE 2007 - Montréal, Québec, Canada
- 19 & 20 MARS 2010 - Montréal, Québec, Canada
- 27 MAI 2010 - East Rutherford, New Jersey, États-Unis
- 24 JUILLET 2010 - Foxborough, Massachusetts, États-Unis
- 18 & 19 FÉVRIER 2011 - Montréal, Québec, Canada
- 4 MAI 2011 - Montréal, Québec, Canada
- 9 JUILLET 2012 - Ville de Québec, Québec, Canada
- 13 & 14 F&Eeacute;VRIER 2013 - Montréal, Québec, Canada
- 20 AVRIL 2013 - Las Vegas, Nevada, États-Unis
- 1er & 2 NOVEMBRE 2013 - Toronto, Ontario, Canada
- 8 NOVEMBRE 2013 - Montréal, Québec, Canada
- 7 AVRIL 2018 - Newark, New Jersey, États-Unis
- 17 & 18 MAI 2018 - Montréal, Québec, Canada
- Mes photos de Bon Jovi
- 14 DÉCEMBRE 2005 - Montréal, Québec, Canada
- 15 DÉCEMBRE 2005 - Montréal, Québec, Canada
- 13 JUILLET 2006 - Montréal, Québec, Canada
- 14 NOVEMBRE 2007 - Montréal, Québec, Canada
- 15 NOVEMBRE 2007 - Montréal, Québec, Canada
- 19 MARS 2010 - Montréal, Québec, Canada
- 20 MARS 2010 - Montréal, Québec, Canada
- 27 MAI 2010 - East Rutherford, New Jersey, États-Unis
- 24 JUILLET 2010 - Foxborough, Massachusetts, États-Unis
- 18 FÉVRIER 2011 - Montréal, Québec, Canada
- 19 FÉVRIER 2011 - Montréal, Québec, Canada
- 4 MAI 2011 - Montréal, Québec, Canada
- 9 JUILLET 2012 - Ville de Québec, Québec, Canada
- 13 FÉVRIER 2013 - Montréal, Québec, Canada
- 14 FÉVRIER 2013 - Montréal, Québec, Canada
- 20 AVRIL 2013 - Las Vegas, Nevada, États-Unis
- 1er NOVEMBRE 2013 - Toronto, Ontario, Canada
- 2 NOVEMBRE 2013 - Toronto, Ontario, Canada
- 8 NOVEMBRE 2013 - Montréal, Québec, Canada
- 7 AVRIL 2018 - Newark, New Jersey, États-Unis
- 17 MAI 2018 - Montréal, Québec, Canada
- 18 MAI 2018 - Montréal, Québec, Canada
- Mes vidéos de Bon Jovi
- 14 DÉCEMBRE 2005 - Montréal, Québec, Canada
- 15 DÉCEMBRE 2005 - Montréal, Québec, Canada
- 13 JUILLET 2006 - Montréal, Québec, Canada
- 14 NOVEMBRE 2007 - Montréal, Québec, Canada
- 15 NOVEMBRE 2007 - Montréal, Québec, Canada
- 19 MARS 2010 - Montréal, Québec, Canada
- 20 MARS 2010 - Montréal, Québec, Canada
- 27 MAI 2010 - East Rutherford, New Jersey, États-Unis
- 24 JUILLET 2010 - Foxborough, Massachusetts, États-Unis
- 18 FÉVRIER 2011 - Montréal, Québec, Canada
- 19 FÉVRIER 2011 - Montréal, Québec, Canada
- 4 MAI 2011 - Montréal, Québec, Canada
- 9 JUILLET 2012 - Ville de Québec, Québec, Canada
- 13 FÉVRIER 2013 - Montréal, Québec, Canada
- 14 FÉVRIER 2013 - Montréal, Québec, Canada
- 20 AVRIL 2013 - Las Vegas, Nevada, États-Unis
- 1er NOVEMBRE 2013 - Toronto, Ontario, Canada
- 2 NOVEMBRE 2013 - Toronto, Ontario, Canada
- 8 NOVEMBRE 2013 - Montréal, Québec, Canada
- 7 AVRIL 2018 - Newark, New Jersey, États-Unis
- 17 MAI 2018 - Montréal, Québec, Canada
- 18 MAI 2018 - Montréal, Québec, Canada
- Mes textes et poèmes
- That Power Called Love (1997)
- For My 5 Years of Devotion (1998)
- 6 Years (1999)
- I Love You Because (2000)
- 10 Years - One Decade (2003)
- Already 10 Years of Love (2003)
- Deception of a Fan (2003)
- Living In a Dream (2003)
- You and I (2003)
- Time Goes By Fast... When You're in Love (2004)
- For Half My Life... (2005)
- Have a Nice Day Farewell (2006)
- 15 Years Ago ... on February 21, 1993... (2008)
- My Love Celebrates Its Sweet 16 (2009)
- What You Mean to Me (2011)
Littérature
À propos de moi




