Orthodontics - Orthognathic surgery

Orthodontics - Orthognathic surgery > Pictures & X-rays > Before/after the treatments

Pictures & X-rays

Before/after the treatments

Unofficial pictures

My facial transformation is really remarkable by comparing pictures of me before and after my dental treatments. My orthodontist was right; I was a case that would give worthwhile results!

Marie-Hélène Cyr - Before orthodontic treatments and orthognathic surgeries (June 4, 2005)

June 4, 2005 - My face before the installation of my braces.

Marie-Hélène Cyr - After orthodontic treatments and orthognathic surgeries (November 28, 2009)

November 28, 2009 - My face after the removal of my braces.

Marie-Hélène Cyr - Before orthodontic treatments and orthognathic surgeries (June 4, 2005)

June 4, 2005 - My profile before the installation of my braces.

Marie-Hélène Cyr - After orthodontic treatments and orthognathic surgeries (October 18, 2008)

October 18, 2008 - My profile after my orthognathic surgeries.

Note: My profile hasn't changed much since the removal of my braces, so I decided to keep a picture of my profile with my braces on.

Official pictures taken at my orthodontist's clinic

The pictures below were taken during consultation and follow-up appointments at my orthodontist's clinic. These pictures are impressive by the details they reveal; those from before my braces almost scare me now!

To know more about the words used to describe the following pictures, see the information related to the diagnosis made by my orthodontist and my surgeon.

Marie-Hélène Cyr - Smile - Before orthodontic treatments and orthognathic surgeries (November 24, 2005)

November 24, 2005 - The longer-than-normal lower third of my face really shows here!

Marie-Hélène Cyr - Smile - After orthodontic treatments and orthognathic surgeries (January 29, 2010)

January 29, 2010 - I still have a small gingival smile, but it is more harmonious than before!

Marie-Hélène Cyr - Profile - Before orthodontic treatments and orthognathic surgeries (November 24, 2005)

November 24, 2005 - What strikes the most in this picture is my convex profile with my receded chin.

Marie-Hélène Cyr - Profile - After orthodontic treatments and orthognathic surgeries (January 29, 2010)

January 29, 2010 - My profile is so different than before that it took me time to realize it is mine!

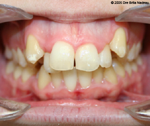
Marie-Hélène Cyr - Central intraoral view - Before orthodontic treatments and orthognathic surgeries (November 24, 2005)

November 24, 2005 - My teeth during my consultation appointment with my orthodontist.

Marie-Hélène Cyr - Central intraoral view - After orthodontic treatments and orthognathic surgeries (January 29, 2010)

January 29, 2010 - My teeth when my orthodontist concluded that I was a finished case.

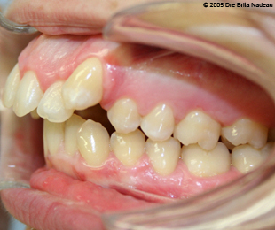
Marie-Hélène Cyr - Left lateral intraoral view - Before orthodontic treatments and orthognathic surgeries (November 24, 2005)

November 24, 2005 - The extrusion of my premaxilla is very flagrant on this left lateral view.

Marie-Hélène Cyr - Left lateral intraoral view - After orthodontic treatments and orthognathic surgeries (January 29, 2010)

January 29, 2010 - My final class I occlusion contrasts with the 2005 left lateral view.

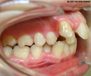
Marie-Hélène Cyr - Right lateral intraoral view - Before orthodontic treatments and orthognathic surgeries (November 24, 2005)

November 24, 2005 - The class II malocclusion is very visible on this right lateral view.

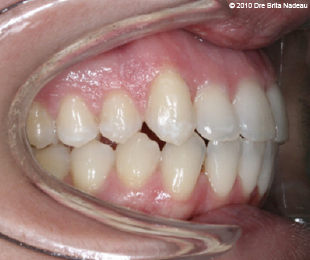
Marie-Hélène Cyr - Right lateral intraoral view - After orthodontic treatments and orthognathic surgeries (January 29, 2010)

January 29, 2010 - With my optimal occlusion, I can finally bite into foods correctly!

Marie-Hélène Cyr - Upper occlusal view - Before orthodontic treatments and orthognathic surgeries (November 24, 2005)

November 24, 2005 - The constriction of my maxilla and the crowding of my teeth are visible here.

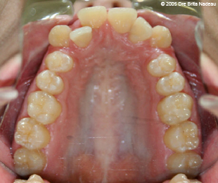
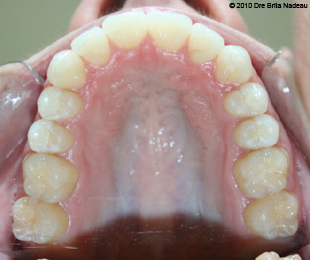
Marie-Hélène Cyr - Upper occlusal view - After orthodontic treatments and orthognathic surgeries (January 29, 2010)

January 29, 2010 - This upper occlusal view of my teeth is very impressive.

Marie-Hélène Cyr - Lower occlusal view - Before orthodontic treatments and orthognathic surgeries (November 24, 2005)

November 24, 2005 - The crowding of my teeth is also visible on this lower occlusal view.

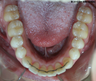
Marie-Hélène Cyr - Lower occlusal view - After orthodontic treatments and orthognathic surgeries (January 29, 2010)

January 29, 2010 - My lingual wire can easily be observed on my 6 front lower teeth.

Return to the top of the page